猫バンバンの季節がやってきました
こんにちは
上野の森どうぶつ病院の
諌山です
いや~寒くなってきましたね!
いよいよ冬本番です。
と!いうことは、猫バンバンの季節到来です。
ごぞんじですか?
猫バンバン。
流行ってますよ?
一部の人の間だけですけどね。
猫バンバンしないとこんな子を病院に連れてくることになっちゃいます。

はい、カワイコさん登場です。
この子ですね、ここにいたんです。
*みほんです。
そう。車。
上ならいいのですが、この子がいたのは

そう、ボンネットの中。
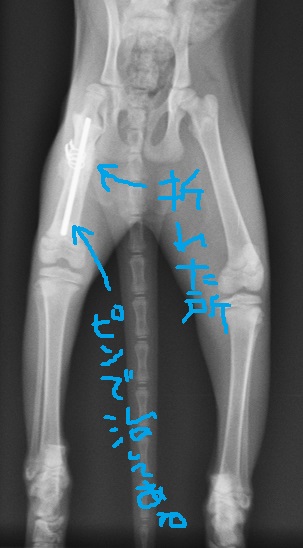
右足の骨折と皮膚が剥けるほどの火傷をおって病院に運び込まれた子です。
なので、スケルトンにするとこんな感じのカワイコさん。
寒がりなこのカワイコさんは暖かさを求めて、エンジンルーム近くのボンネットの中へ。
暖かさにウトウト寝てしまったら…
エンジンかけた瞬間、ビックリして飛び起きてベルトに巻き込まれて火傷と骨折…
痛々しいですね。
それを防ぐために起きて出て行って貰うのが
猫バンバン
谷根千界隈は猫多いですからね~。
今日も子猫を見かけました。
注意が必要な地域ですね
皆さんも是非流行らせて下さい
猫バンバン
◇◆◇◆◇◆◇◆◇◆◇◆◇◆◇◆◇◆◇◆◇
上野の森どうぶつ病院
http://www.uenonomoriah.com/
住所:東京都台東区谷中1-5-11
ディアプラザ根津B1F
TEL:03-5832-9991
◇◆◇◆◇◆◇◆◇◆◇◆◇◆◇◆◇◆◇◆◇







